AD logo graphic | Dental Implant Suppliers Chicago IL | Alpha Dent Global

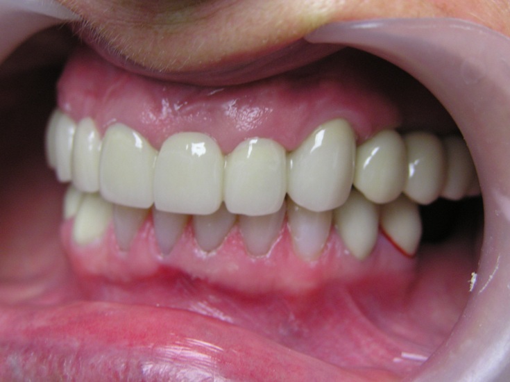
Restoration of Maxillary Dentition Defect

SLA implant surface | Surgical Dental Implants for Sale Chicago IL | Alpha Dent Global

Valeriy Smaglyuk – dental surgeon of the first category, Candidate of Medicine, Assistant Professor of Chair of Postgraduate Training for Dentists of Higher State Educational Institution of Ukraine “Ukrainian Medical Dental Academy”. ORTEX – CT Dental Clinic. Ukraine

Superior implant drilling form | Implant Screws Chicago IL | Alpha Dent Global

Alex Aleshin – doctor-stomatology-orthopaedist. Ukraine

Clinical case 4 implants | Surgical Dental Implants for Sale Chicago IL | Alpha Dent Global
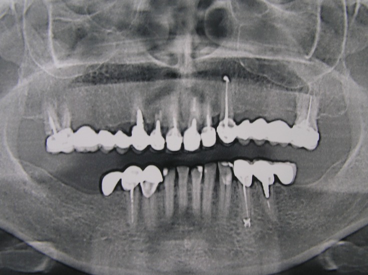
Clinical case: Patient T, 55 years old.
Diagnosis: Combined Maxillary Dentition Defect (Ye. I. Gavrilov).
Treatment: Implantation in the area of 14, 15, 16, 17, 24, 25 and 26 teeth with Alpha Dent Implants.
Fixation of temporary bridge prosthesis, making of metal-ceramic bridge prosthesis.
Result: Complete and total restoration of maxillary dentition aesthetics.
At present the patient’s mandible is being rehabilitated.

The work was performed by: A.V. Aleshin, dentist-orthopedist; V.I. Smaglyuk, dental surgeon of the highest category.