
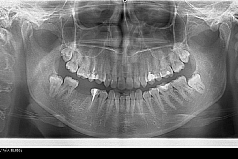
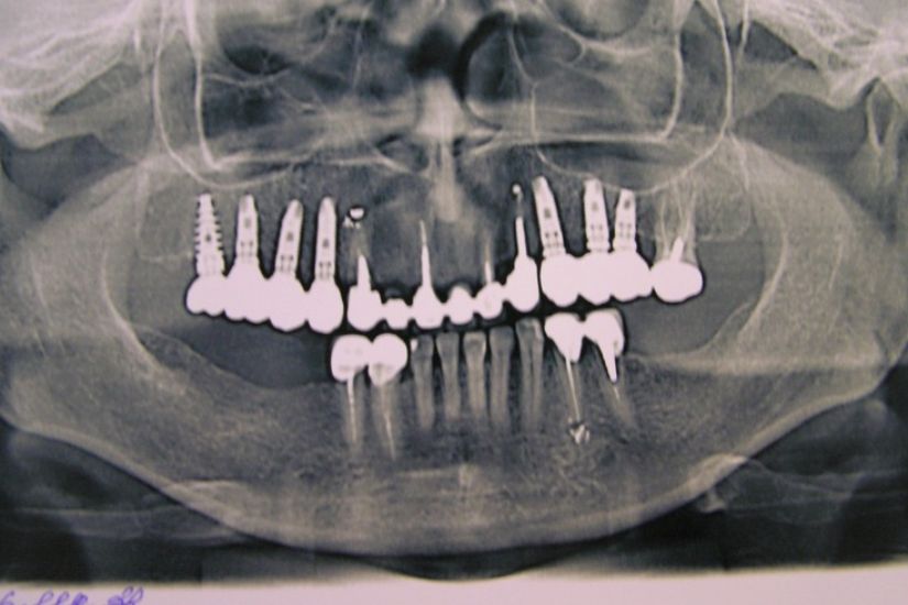
Dental Rehabilitation Using Alpha Dent Implant in Case of Reconstructed Mandible after Excision of Ossifying Fibroma
Dental Rehabilitation Using Alpha Dent Implant in Case of Reconstructed Mandible after Excision of Ossifying Fibroma Dr. Parit Ladani MDS











