Everybody knows that immediate implantation, especially in the aesthetic zone, is a real challenge for dental implantologists. He or she should use all skills in order to achieve great results.
The main advantage of immediate implantation is that alveolar socket can be used as surgical guide so the whole process would be much easier.
In addition there are such advantages as:
• Quick patient rehabilitation
• Minimally invasive impact on the alveolar bone and keratinized gums volume
• Relatively low surgery price
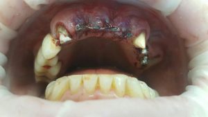
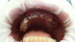
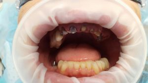
However, this way of implants placement also has some disadvantages, like insufficient prediction of implant platform position. This clinical case demonstrates how well-qualified dental implantologist completed the surgery perfectly well.
A patient case to the dental clinic with complaint connected with frond teeth defects. After the examination, he decided to provide dental treatment that includes immediate implantation of Alpha Dent implants. During the surgery he has placed 3 Alpha Dent implants in extracted teeth alveolar sockets. Then he placed allomaterial for bone regeneration over implants and sutured the wound.