AD logo graphic | Dental Implant Suppliers Chicago IL | Alpha Dent Global

Restoration of Partial Dentition Defect with Alpha Dent Implants

Active Bio platform photo | Dental Suprastructure for Sale Chicago IL | Alpha Dent Global

Karapovskiy Sergey Mikhailovich, a dental surgeon, postgraduate student of the Department of Orthopedic Stomatology of Danylo Halytsky Lvov State Medical University. The Supervisor of Studies: V.F. Makeiev, Professor, the Head of Department of Orthopedic Stomatology, Ukraine, Lviv.

Superior Active implant size table | Best Price For Dental Implants Chicago IL | Alpha Dent Global

Vysotsky Andrei Aleksandrovich: orthopedist. Private practice. Ukraine, Lviv.

Medical case:

 

Patient K. (25 years old) turned to the clinic complaining about the aesthetic look of his 21st tooth.

 

Diadhosis:

 

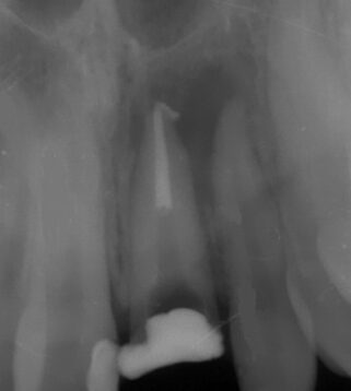
Chronic periodontitis of the 21st tooth (Photo 1 and 2).

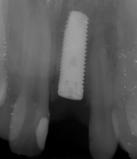
The examination found a sinus tract with an active inflammatory symptomatology. The endodontic treatment failed to give any positive results. There was made a decision to extirpate the 21st tooth along with simultaneous placement of Alpha Dent Implant with its diameter of 5 mm, 13 mm long and closure of soft tissue defects with PRP membrane. The surgery was carried out without immobilization of mucosa-periosteal graft making it possible to attain a good aesthetic look of the gingival edge and harmonious “rose-and-white” ratio.

A temporary gum shield was made for the patient to wear during the period of rehabilitation on his maxilla both for the aesthetic look and preservation of his interdental papillae. The positive result was obtained due to use of blood potential effective for soft tissue regeneration.
The surgery of an implant opening without a vestibule-oral graft throwing away was carried out in six months after the surgical stage. Availability of a sufficient amount of soft tissues in the region of implant placement made it possible to give up the usage of zirconium abutments and make use of a standard anatomic abutment to obtain positive clinical result.

The permanent metal-ceramic crown was manufactured later on.

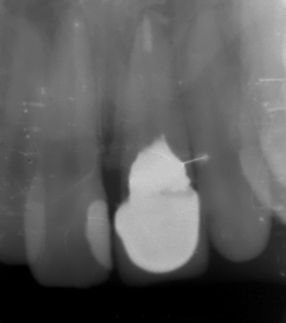
Complete restoration of aesthetic look and function (Photo 9 and 10).