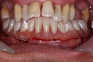
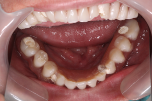
A patient applied to the clinic with generalized periodontitis of teeth of the lower jaw.
We decided to make a fixed prosthesis before the operation on exodontia and implant insertion. For this purpose the following things were made:
Surgical template
• Abutments were milled
• The future frame was adapted
• Plastic prosthesis was made.
During one visit the operation was carried out, all the teeth of the lower jaw were extracted, 4 implants Alpha Dent Classic were placed, with the help of intraoral welding the frame was made and a temporary screw-retained prosthesis was placed.
The basis for the method of intraoral welding with the help of the apparatus Intra Oral Welding (I.O.W.) is an emergence in argon environment of the electric arc between two cyclohexanones, or Syncrystallization. The method allows to create the frame for immediate load.
Photo 1. Initial situation (Extraction of teeth of the lower jaw and insertion of four implants Alpha Dent were planned).




Photos 2, 3, 4, 5. Laboratory stage. Preparation of abutments, making of the plastic prosthesis with the internal deeping for the frame, making of the template.



Photos 6, 7. Insertion of the implants on the lower jaw straight after extraction of teeth.
Photo 8. Prosthesis with dental backing, made with the help of intraoral welding.


Photos 9, 10. The placed temporary denture in the patient’s mouth during one visit.
The use of the apparatus for intraoral welding allows to carry out implantation with immediate load which enables to place a temporary denture with dental backing straight after the placing of dental implants, during only one visit of the clinic by the patient.