Clinical Aspects of Individual Abutment Application when Prosthetics with Alpha Dent Implants
Eismund Anatoliy. Dental surgeon of the highest category, Candidate of Medicine, the Dnipro Sate Medical Academy. Ukraine
Clinical Case: Patient A., 46 years old.
Diagnosis: defect of 46th crown, exacerbation of chronic periodontitis.
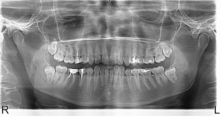
Photo 1.Panoramic roentgenogram of a 46-year-old patient A. before treatment.
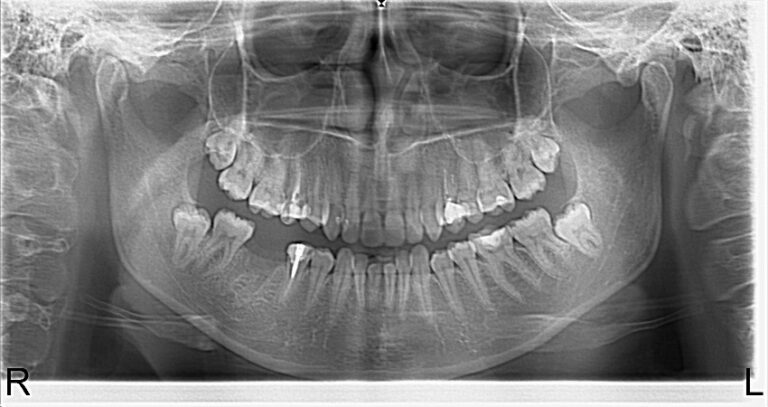
Photo 2.Panoramic roentgenogram of the patient after extraction of her 46th tooth and osteoplasty.
Picture 3.
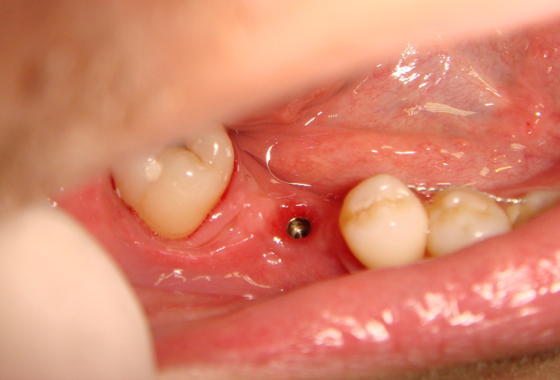
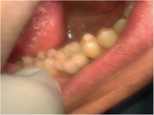
Photo 3. Oral cavity of the same patient: state of alveolar process, dentition and mucous membrane in the area of mandibular dentition defect at site of 46th tooth after implantation and formation of mucous membrane.
Photo 4. Oral cavity of the same patient: state of alveolar process, dentition and mucous membrane in the area of mandibular dentition defect.
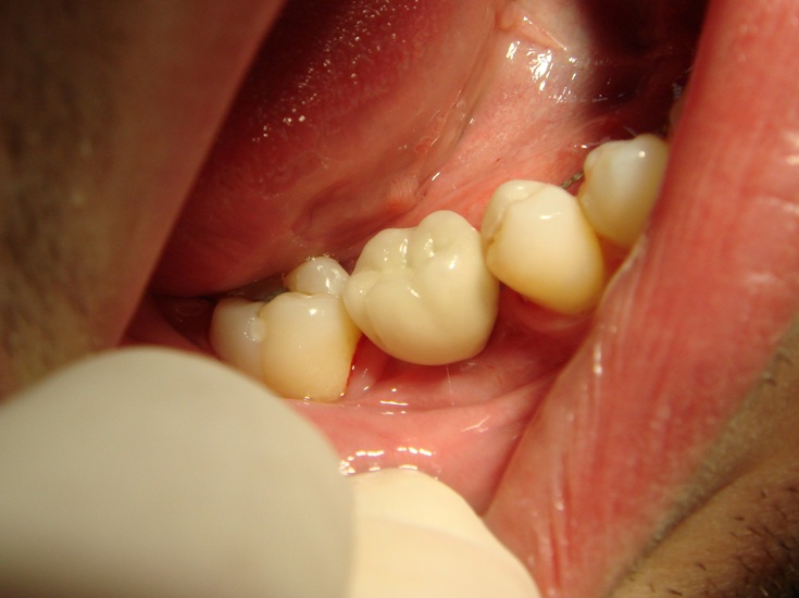
Photo 5. Oral cavity of the same patient in six months after surgery on placement of Alpha Dent Implant and restoration of dentition. There is a metal -ceramic crown placed at site of 46th tooth fixed on individual abutment.
Picture 4.
Picture 5.
CONCLUSION:
1. Application of individual abutments improves marginal adjoining of the crown to a significant degree as compared with ordinary abutments.
2. Application of individual abutments when prosthetics making use of Alpha Dent Implants expands the opportunities of prosthetics in complicated clinical cases.
The work was performed by: G.N. Novikova, dentist-orthopedist; A.P. Eismund, dental surgeon of the highest category.