AD logo graphic | Dental Implant Suppliers Chicago IL | Alpha Dent Global

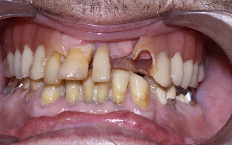
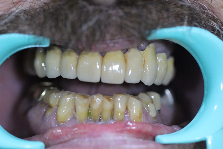
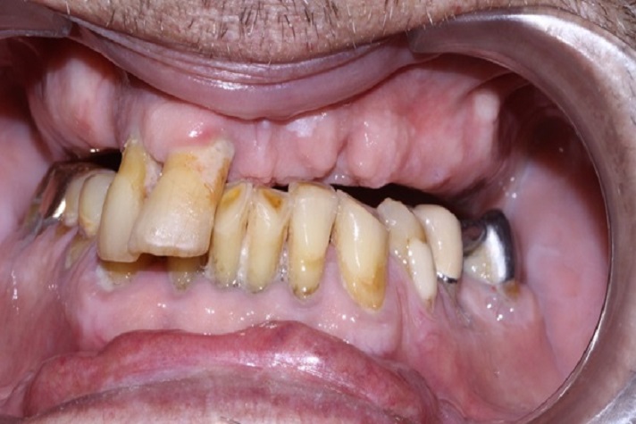
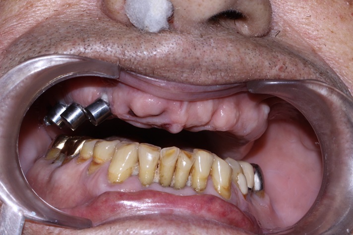
Alpha Dent case report full arch applying TTPHIL technique

Tall and Tilted Pin Hole Immediate Loading ( TTPHIL) is a modern and most reliable technique for dental implantation. The special feature of such method is that dentist combine long and wide implants with bi-cortical support bone.

The All on 6 and All on 4 technique apply that method of implants placement.

This technique also use immediate loading so the implants are placed right after teeth extraction.

Clinical case image 5 | Implant Screws with Conical connection Chicago IL | Alpha Dent Global

What are the advantages of TTPHIL technique?

First and foremost is that there is no stitches and no flap raising. In addition, after dental implantation with TTPHIL method, no antibioticsare  required. It is a great mild painkiller with no blood loss. Many dentists use immediate loading because the whole surgery takes about 30 minutes. This technique is highly applicable for heart and diabetic patients.  TTPHIL is very popular because it has 99% success rate.  Lifetime warranty* is one of the most important advantage both for dentists and patients.

This case report show the successful All on 6 dental implantation using Alpha Dent implants.