AD logo graphic | Dental Implant Suppliers Chicago IL | Alpha Dent Global

Dental Rehabilitation Using Alpha Dent Implant in Case of Reconstructed Mandible after Excision of Ossifying Fibroma

Implant image 17_2 | Dental Instruments & Kits for Sale Chicago IL | Alpha Dent Global

Dr. Parit Ladani

MDS (cirurgião- Buco-maxilo-facial)

Indiana placa certificada cirurgião Oral e maxilofacial. (IBOMSI)

Coordenador Diretor chefe do projeto fissura e cirurgião Craniofacial,

Centro de fissura Swiss (fissura crianças internacional, em Zurique)

BSES MG Hospital

Clinical Case 

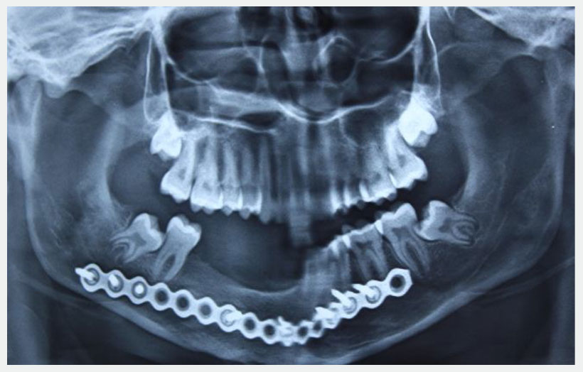
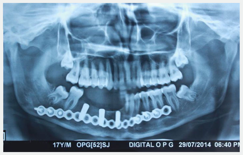
18 year old male patient came with chief complain of Swelling over Rt side of lower jaw. He was diagnosed as Benign Ossifying fibroma. Surgery was made in Feb 2013 for excision of lesion and reconstruction using Iliac crest cortico-cancellous bone graft from right side. Bone graft fixed to the defect using a reconstruction plate. After 1 year we can see adequate bone formation at the defect side. He is planed for replacement of missing teeth using 3 Alpha Dent 5×13 mm classic implants.